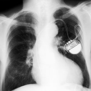
El marcapasos es un aparato implantado por debajo de la clavícula, a nivel subcutáneo, mediante una cirugía que no suele requerir anestesia general.
Consta de un generador y un cable (o más), el cual detecta si el corazón recibe el estímulo propio y, en caso contrario, es capaz de crearlo y mantener así una frecuencia cardíaca adecuada.
La implantación de un marcapasos conlleva un seguimiento clínico para asegurar que éste ejerce su función y que la batería, que dura entre 6 y 10 años, no está agotándose.
Las generaciones actuales de marcapasos suelen tener pocas interferencias, aunque se recomienda situar el móvil un poco alejado de la zona de implantación del marcapasos y evitar permanecer en zonas con campos electromagnéticos.
La presencia de una marcada astenia, de pérdidas de conocimiento o de mareos hace aconsejable la valoración por parte de un profesional del ritmo cardíaco mediante electrocardiograma.
Para más información y un diagnóstico preciso, te recomendamos visitar a los expertos de Cateterismo Cardíaco.
Consta de un generador y un cable (o más), el cual detecta si el corazón recibe el estímulo propio y, en caso contrario, es capaz de crearlo y mantener así una frecuencia cardíaca adecuada.
La implantación de un marcapasos conlleva un seguimiento clínico para asegurar que éste ejerce su función y que la batería, que dura entre 6 y 10 años, no está agotándose.
Las generaciones actuales de marcapasos suelen tener pocas interferencias, aunque se recomienda situar el móvil un poco alejado de la zona de implantación del marcapasos y evitar permanecer en zonas con campos electromagnéticos.
La presencia de una marcada astenia, de pérdidas de conocimiento o de mareos hace aconsejable la valoración por parte de un profesional del ritmo cardíaco mediante electrocardiograma.
Para más información y un diagnóstico preciso, te recomendamos visitar a los expertos de Cateterismo Cardíaco.
*Fuente: Quirón Salud







